小滝橋動物病院 新目白通り第2高度医療センター お電話0359585512
ここでは特徴的な症例について、一部をご紹介いたします。
※手術の写真を掲載しておりますので、苦手な方はご注意ください。
小滝橋動物病院グループ全体の外科症例件数については、>こちらをご参照ください。

レッグカルベペルテス病(LCPD)疑いの犬の1例(整形外科、股関節、手術)

「1か月ほど前から右後ろ足を気にしてお散歩中に足を挙げてしまうことがある」という症状で来院した小型MIXのわんちゃんで年齢は1歳未満でした。
整形外科学的検査において、右後肢の負重性跛行、右殿筋~大腿にかけての筋萎縮、右股関節の伸展痛が認められたためX線検査を実施いたしました。
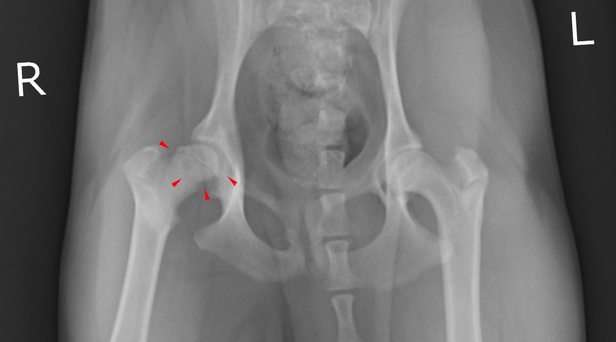
X線検査において右大腿骨頭の不整、骨萎縮、X線透過性の変化が認められ、(赤矢頭)
背景にレッグカルベペルテス病(LCPD、無菌性虚血性大腿骨頭壊死症)(以下LCPD)の存在が疑われました。

また右の大腿部の筋肉量が左に比べてだいぶ細いこともよく分かります。(緑線)
痛みのある右の後ろ足をかばいなるべく体重をかけず使わないように生活していた結果の筋萎縮だと考えられます。

LCPDは何らかの原因で大腿骨頭への血液供給が阻害され(虚血)、組織障害を引き起こす病態とされていますが、原因は分かっていません。多くは1歳未満の若齢のトイプードルやポメラニアンなどの小型犬で認められます。
右大腿骨頭部の異常所見
右の大腿部の廃用性筋萎縮
飼主様とご相談の上、外科療法(大腿骨頭骨頚部切除術)を実施いたしました。

大腿骨頭はX線検査で認識できるよりも遥かに障害を受けており、表面がボロボロと剥離骨折を起こしているような状態でした。
左:術後 / 右:術前
術中の様子
切除後の大腿骨頭
術後の経過は良好ではありますが、この手術の後は積極的なリハビリテーションが必要になるため、当院のリハビリテーション科と協力して対応していくことになりました。





執筆担当:獣医師/整形外科 多喜
小滝橋動物病院 新目白通り第2高度医療センタートップページ
東京都豊島区高田3-20-11
TEL 03-5958-5512 
Email: otakibashigroup@yahoo.co.jp