小滝橋動物病院 新目白通り第2高度医療センター お電話0359585512
ここでは特徴的な症例について、一部をご紹介いたします。
※手術の写真を掲載しておりますので、苦手な方はご注意ください。
小滝橋動物病院グループ全体の外科症例件数については、>こちらをご参照ください。

成長板骨折

成長板と成長板骨折

正式には骨端軟骨という骨の端っこ(骨端)に存在する軟骨組織のことをいい、成長期の骨の成長を担っていることから成長板と呼ばれたり、存在する部位から骨端板と呼ばれたりします。
この成長板から細胞が分裂し、成長して大きくなることで骨が長く大きく成長していきます。
個体差にもよりますが、骨格が安定する11カ月齢頃になると成長板は完全に骨に置換され、骨の成長が終わります。(成長板の閉鎖)
つまり、成長板は若齢期には存在するが、成熟すると消失し認められなくなります。
成長板は通常の骨組織と比べると脆弱で、外力に対する抵抗性が低いため、弱い衝撃などでも容易に剥離し、骨折してしまうことがあります。
成長板骨折は大きく5つのタイプに分類されます。
Type1〜4は成長板における剥離骨折ですが、Type5は成長板に圧力が加わる圧迫骨折で成長板が機能しなくなり、成長が阻害されてしまいます。
 単純X線画像上の成長板(前肢と後肢) 矢印が成長板です。 
 成長板骨折の分類(Salter-Haris分類) 青いラインが成長板です。

成長板骨折の症例

柴犬 雌 6ヵ月齢
自転車の後部座席より落下、右前肢の挙上を主訴に来院。
触診上、手根部の腫脹と圧痛が認められました。
単純X線画像検査上、ラテラル像では大きな左右差は認められませんでしたが、AP像にて軟部組織の腫脹と成長板の間隙が広くなっていることから橈骨遠位成長板骨折(Salter-Haris Type1)と診断し、外科的処置を行いました。
 初心時のX線画像検査初見 赤矢印:軟部組織の主張、黄矢印:橈骨遠位成長板(左前肢と比較すると成長板の間隙が広い)
 キルシュナーワイヤーを用いたクロスピン法にて整復しました
 術後約1ヵ月後 挙上が認められなくなり、負重をかけての歩行が可能になったため抜ピンを行いました

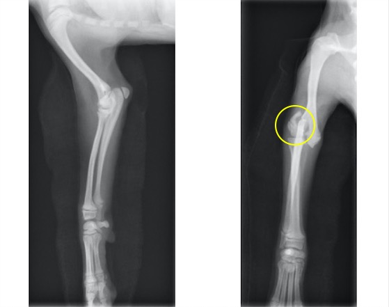
成長板骨折の症例2

トイプードル 雌 3ヵ月齢
ソファーの背もたれから落下後、右前肢居城を主訴に来院。
視診上、両前肢の明らかな左右差は認められませんでしたが、触診検査において肘関節における圧痛を確認しました。
単純X線検査を実施したところ、上腕骨遠位外顆骨折が認められ、上腕骨遠位の成長板をまたぐ骨折であったことから成長板骨折(Salter-Haris Type4)と診断して外科的処置を実施しました。
 背掌像より上腕骨遠位外顆の骨折が認められました。
 術中写真
 皮質骨スクリューと2本のキルシュナーワイヤーにて固定しました
成長板骨折は若齢期の外傷によって生じる代表的な整形外科疾患で、ぶつかってしまったり、気付かずに踏んでしまう、高所からの落下などによって生じます。
痛がるケースがほとんどですが、一時的な疼痛を示す場合もあるため、そのままにせずご相談いただけたらと思います。

執筆担当:獣医師 初山 太基
小滝橋動物病院 新目白通り第2高度医療センタートップページ
東京都豊島区高田3-20-11
TEL 03-5958-5512 
Email: otakibashigroup@yahoo.co.jp