小滝橋動物病院 新目白通り第2高度医療センター お電話0359585512
ここでは特徴的な症例について、一部をご紹介いたします。
※手術の写真を掲載しておりますので、苦手な方はご注意ください。
小滝橋動物病院グループ全体の外科症例件数については、>こちらをご参照ください。

大腿骨の骨折

大腿骨骨折は最も癒合不全(骨の癒合が遅れる・癒合しない)が起きやすく、特に内側の骨が欠損するとインプラントの破損が起きやすいため、強固な固定・安定化が必要です。そのため、髄内ピンとプレート(プレートロッド法)やラグスクリューとプレートを合わせるような固定が理想的になります。
若齢犬の大腿骨近位の斜骨折です。斜骨折をラグスクリューである程度固定し、プレートによって支持する(守る)方法を使っています。これを中和プレートと呼ぶこともあります。
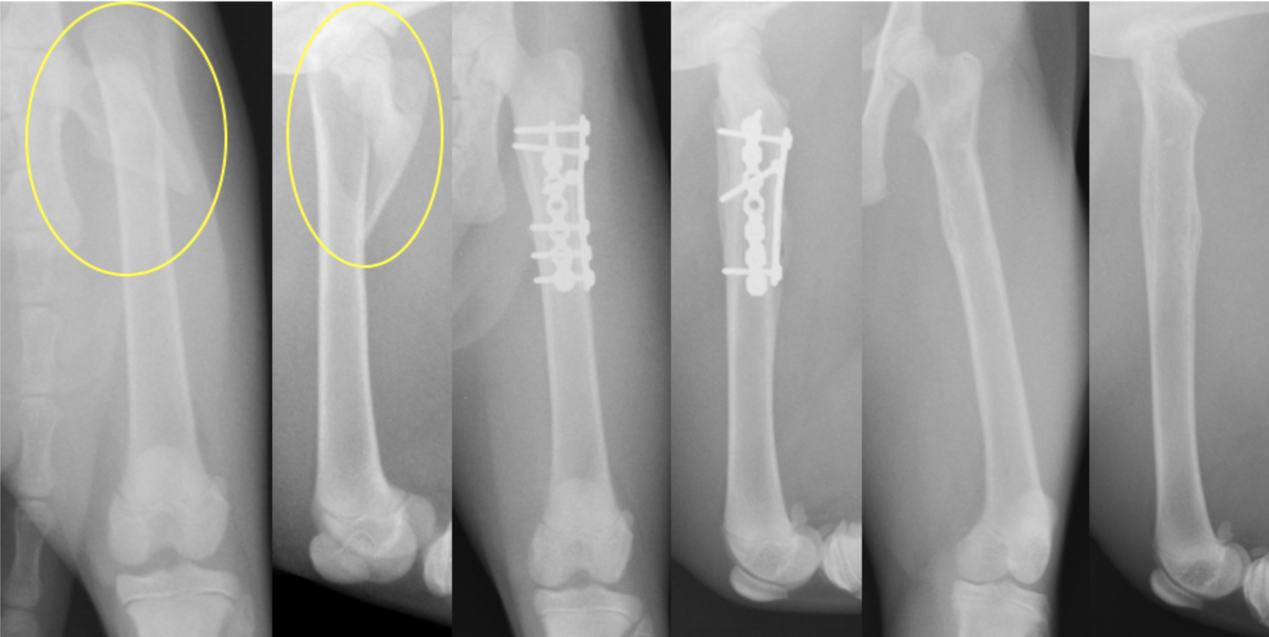
老齢猫の大腿骨骨幹部中央の斜骨折です。老齢猫では骨が固く、もろくなっていくので簡単に骨が割れていくことがあります。
なるべくそうならないよう髄内ピンを設置してからプレート設置を行いましたが、それでも数箇所割れてしまったところがあります。SOPプレートというロッキングプレートの一種で固定しています。老齢のため、骨化を促進するためフリーズドライのパウダーを入れています(写真右)
術後レントゲンです。アライメント(向きや配置)も問題なく固定されています。術後すぐに歩きだし、3週後には走り回って、家を脱走するくらいとのことでした。
骨折でお悩みの方はメールや電話などでご相談ください。 執筆担当:獣医師 磯野
小滝橋動物病院 新目白通り第2高度医療センタートップページ
東京都豊島区高田3-20-11
TEL 03-5958-5512 
Email: otakibashigroup@yahoo.co.jp