小滝橋動物病院 新目白通り第2高度医療センター お電話0359585512
ここでは特徴的な症例について、一部をご紹介いたします。
※手術の写真を掲載しておりますので、苦手な方はご注意ください。
小滝橋動物病院グループ全体の外科症例件数については、>こちらをご参照ください。

橈尺骨遠位骨折の犬の1例(整形外科、前肢、前足の骨折)

肘から手首にかけての前腕部は、橈骨と尺骨という2本の骨で構成されています。

トイプードル・ポメラニアン・チワワ・パピヨンなどの超小型犬は骨が細く脚が長いため、跳び下りた着地の際にこの部分を骨折してしまう子が多くいます。
2本の骨は同時に骨折してしまうことが多いため、総称して橈尺骨骨折と呼ばれることが多いです。



今回ご紹介する症例は橈尺骨骨折の中でも手首の関節に近い部分が折れてしまったチワワさんでした。

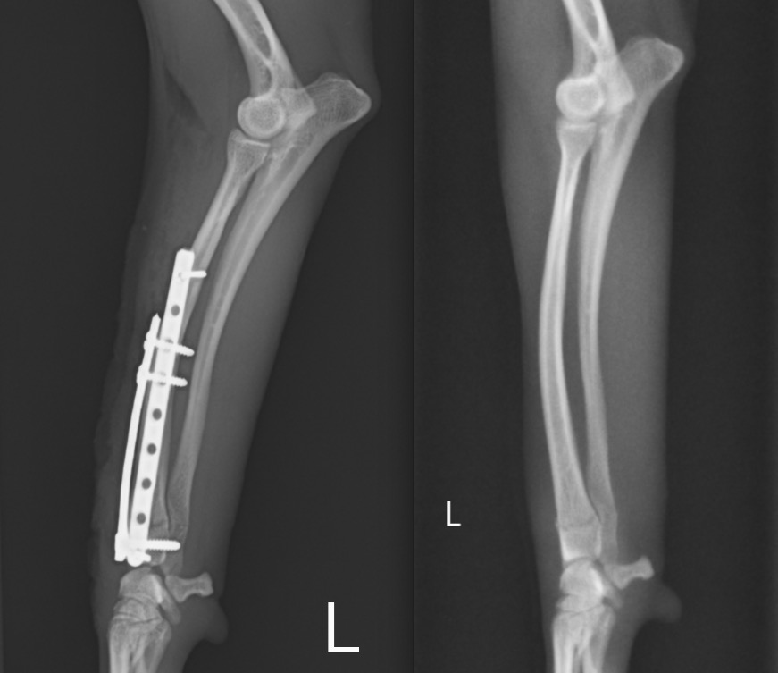
橈尺骨骨折の治療はプレート固定が第一選択になることが多いのですが、プレートを固定するために1つの骨片につき3本のスクリュー(ネジ)を入れることが多いです。

しかし、今回のような遠位骨折の場合だとスクリューを入れるためのスペースの確保が困難になるため細心の注意が必要です。
関節面から骨折線までは6mm程度しかありませんでした。
手術はダブルプレート法で行いました。

正面に1.5㎜コンディラープレート、側面に1.1mmストレートプレートを設置し、
結果的には手首の関節に近い小さい骨片にも3本のスクリューを挿入することができました。
左:術後 / 右:術前
左:術後 / 右:術前
術後の経過は良好であり、退院する頃には手術をした足も問題なく使って歩いてくれていました。




執筆担当:獣医師/整形外科 多喜
小滝橋動物病院 新目白通り第2高度医療センタートップページ
東京都豊島区高田3-20-11
TEL 03-5958-5512 
Email: otakibashigroup@yahoo.co.jp