小滝橋動物病院 新目白通り第2高度医療センター お電話0359585512
ここでは特徴的な症例について、一部をご紹介いたします。
※手術の写真を掲載しておりますので、苦手な方はご注意ください。
小滝橋動物病院グループ全体の外科症例件数については、>こちらをご参照ください。

両側性に膝蓋骨内方脱臼が認められた犬の1例(整形外科、膝、パテラ、手術)

膝蓋骨(膝のお皿の骨)の内側への脱臼は犬(特に小型犬)で最も多く見られる整形外科疾患の1つであり、その多くは生まれ持っての解剖学的な問題による先天性のものです。稀ではありますが猫でも見られます。

無症状の子も多いですが、脱臼することへの違和感や痛みにより急に後ろ足を挙げてしまったり、走っている途中でスキップになってしまったりと、様々な症状が出てしまう子も多くいます。

また、膝蓋骨の脱臼が慢性的に起こっている膝関節では関節が内側に引っ張られる力がかかっているため、膝の中の靭帯(前十字靭帯)に負荷がかかっており、年齢を重ねるにつれてダメージが蓄積し、将来的に靭帯の断裂を招いてしまうリスクも考えなければいけません。(赤矢印)
本症例は散歩の際に足を気にしたり挙げてしまう頻度が増えてきたとのことで来院されました。


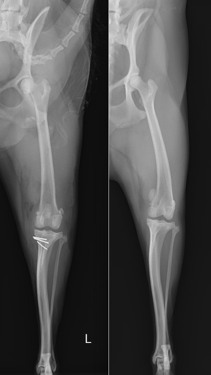
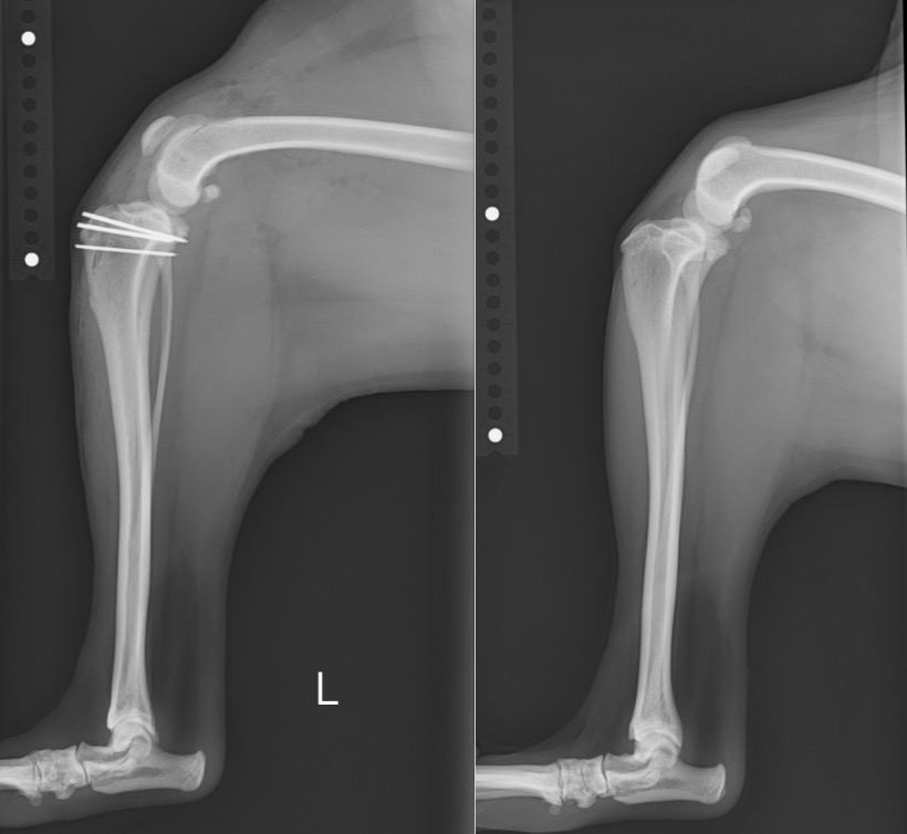
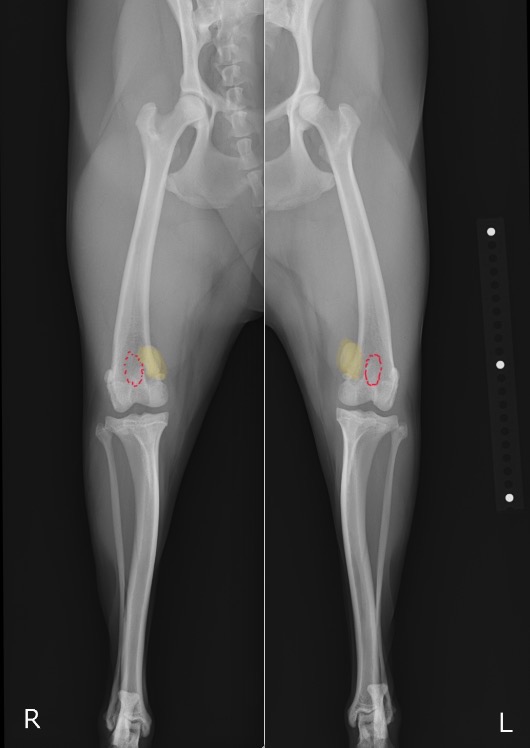
X線を見ると、膝蓋骨が本来あるべき位置(赤点線)から内側に脱臼してしまっていることが分かります。(黄色)
整形外科学的検査とX線検査により、左右共に膝蓋骨内方脱臼のGrade3と診断しました。
重症度としては4段階中3番目であり、日常的に脱臼している状態と推察されました。


内科療法/外科療法、片側ずつ/両側同時、それぞれについて飼主様と慎重にご相談の上、後日左右同時に整復手術を行いました。
術前・術後のX線を見比べると、膝蓋骨が真ん中に整復されていることが分かります。

白く見えるのはステンレス製のピンであり、脛骨粗面転移という手技を行ったために使っています。
右後肢 【左:術後 / 右:術前】
左後肢 【左:術後 / 右:術前】
右後肢 【左:術後 / 右:術前】
左後肢 【左:術後 / 右:術前】
術後1週間で退院となりましたが、退院する頃には両足ともしっかり使って歩いてくれていました。



執筆担当:獣医師/整形外科 多喜
小滝橋動物病院 新目白通り第2高度医療センタートップページ
東京都豊島区高田3-20-11
TEL 03-5958-5512 
Email: otakibashigroup@yahoo.co.jp