小滝橋動物病院 新目白通り第2高度医療センター お電話0359585512
ここでは特徴的な症例について、一部をご紹介いたします。
※手術の写真を掲載しておりますので、苦手な方はご注意ください。
小滝橋動物病院グループ全体の外科症例件数については、>こちらをご参照ください。

股関節脱臼

股関節とは骨盤の寛骨臼と呼ばれる凹みの部分に、大腿骨の大腿骨頭と呼ばれる球状の骨がはまることで関節しています。それが外傷や、寛骨臼の形成不全などによって抜けてしまうことを股関節脱臼といいます。
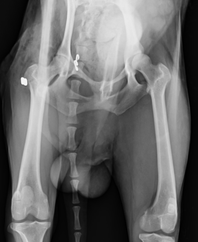
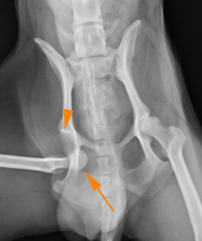
股関節が脱臼すると強い疼痛を引き起こし、足を地面に着けることができなくなり挙上してしまいます。股関節脱臼は脱臼する向きによって大きく2つに分けられます。90%が頭背側脱臼というもので、前方かつ、上方に脱臼してしまうタイプです。残りの10%が尾腹側脱臼というもので後方かつ、下方に脱臼してしまうタイプです。治療には用手による整復と、手術による治療がありますが、用手による整復の成功率は非常に低いとされており、基本的に手術によって整復します。頭背側脱臼ではワッシャーによる固定またはトグルピン法、骨頭切除などの術式が選択できます。症例によって治療法を選択しますが、可能であれば骨頭を切除せずに戻すのが理想と言えます。骨頭を切除すると術後の機能回復に時間がかかるのと、機能が元のの70〜80%にとどまると言われているからです。
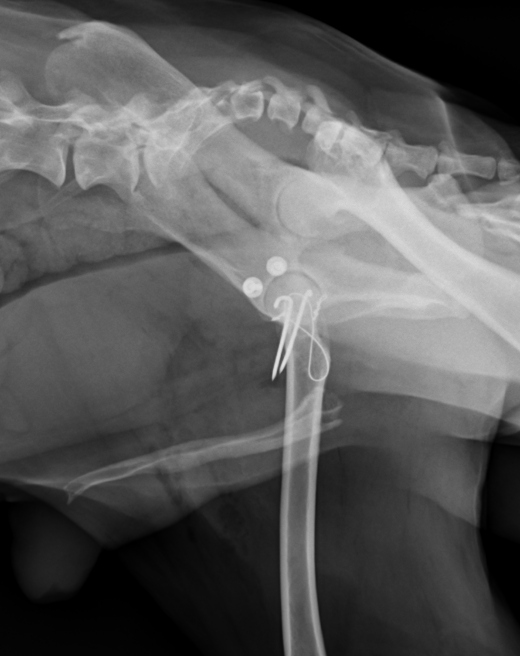
まずはワッシャーによる固定をご紹介します。大腿骨の大転子という部分を一時的に切断してから、骨盤臼にアプローチしてワッシャーを1つか2つ打ち込み、そこと大腿骨頭の骨頚部と呼ばれる部分に穴を開けてワイヤーを通し骨盤と大腿骨を固定する方法です。2週間ほど脱臼せずに維持できればその後は安定化していきます。
尾腹側脱臼では上記のワッシャーの方法は使用できず、トグルピン法か創外固定法、大腿骨頭切除の方法を用います。トグルピン方は、骨盤臼に穴を開け、そこにトグルピンと呼ばれる特殊な形のピンを挿入し、そこに引っ掛けた人工靭帯を、大腿骨に貫通させた穴に通して固定する方法です。この方法も2週間ほど維持できれば安定化していきます。
注意しないといけないのは術後の再脱臼と、反対側の脱臼です。術後は安静に過ごしてもらい、脚の使用が弱い場合にはリハビリによって筋肉量をつけていきます。

執筆担当:獣医師 磯野
股関節脱臼でお悩みの方はメールや電話などでご相談ください。 執筆担当:獣医師 磯野
小滝橋動物病院 新目白通り第2高度医療センタートップページ
東京都豊島区高田3-20-11
TEL 03-5958-5512 
Email: otakibashigroup@yahoo.co.jp